Co s odhaleným krčkem zubu? Jak se vypořádat s mezizubním kazem

Co s odhaleným krčkem zubu? Jak se vypořádat s mezizubním kazem

Kalkulačka rizika mezizubního kazu

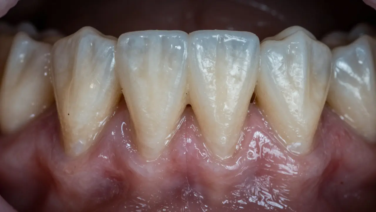
Odhalený krček zubu není jen estetický problém. Když se začne projevovat citlivost na studené nebo teplé potraviny, nebo když si všimnete, že zub vypadá delší než dříve, může to být první příznak mezizubního kazu. A to není něco, co si můžete dovolit ignorovat. Tento typ kazu se rozvíjí přesně tam, kde se zub dotýká dásně - v místě, kde je zubní sklovina tenká nebo úplně chybí. A právě tam se bakterie nejraději usazují.

Co je vlastně odhalený krček?

Krček zubu je ta část, která by měla být vždycky chráněná dásní. Když se dásně odsunou - z důvodu zubního kazu, zubního kamene, špatného čištění nebo dokonce agresivního štětce - tak se tento krček začne objevovat. Je to místo, kde je zubní sklovina tenká a pod ní už není tvrdá kůra, ale měkká dentin. A ta je mnohem citlivější na kyseliny, které produkují bakterie.

Nejčastější příčiny odhalení krčku:

  • Paradontóza - zánět dásní a podpěrných tkání
  • Agresivní čištění - příliš silný štětec nebo štětčení ve svislém směru
  • Zubní kámen - pevná nálož bakterií, která tlačí dásně zpět
  • Bruxismus - škrábání zuby během spánku, což zatěžuje zuby a dásně
  • Genetika - někdo má přirozeně tenčí dásně

Nejvíc se to objevuje u těch, kteří čistí zuby jako by čistili podlahu - moc silně a často. A pak se diví, proč mají citlivé zuby.

Proč je mezizubní kaz tak nebezpečný?

Mezizubní kaz se nejedná o běžný kámen, který se objeví na vrcholku zubu. Je to kariózní proces, který se rozvíjí podél dásně, v místě, kde je těžké vidět a těžké čistit. Většina lidí si ho vůbec nevšimne, dokud nezačne bolet. A když už bolí, je často pozdě.

Když se kariéza dostane do dentinu, začne se šířit rychleji než na sklovine. A pokud se dostane až k zubnímu nervu, může to vést k abscesu, infekci nebo dokonce ke ztrátě zubu. A to všechno bez toho, abyste měli viditelnou „díru“ na zubu.

Studie z Ústředního ústavu stomatologického výzkumu v Praze (2024) ukázaly, že až 43 % dospělých nad 40 let má alespoň jeden zub s mezizubním kazem, který jim lékař ještě neodhalil. To znamená, že mnoho lidí žije s tím, co může být časem závažný problém.

Skrytý mezizubní kaz pod dásní, znázorněný jako temná škvíra v zubní tkáni

Co dělat, když si všimnete odhaleného krčku?

Nemůžete to vyřešit doma. Neexistuje zubní pasta, která by „zakryla“ odhalený krček. Ale můžete zastavit pokračování škody - pokud budete rychle reagovat.

První krok: Navštivte zubního lékaře. Není potřeba čekat, až vás to začne bolet. Stačí, když si všimnete, že zub vypadá jinak, nebo když máte citlivost na studenou vodu. Lékař použije malý zrcátko a světlo, aby zkontroloval, zda je tam kariéza. Pokud ano, může zasahovat na různých úrovních:

  1. Plomba na krčku - pokud je kariéza malá, lékař odstraní poškozenou část a naplní ji speciální plombou, která se přizpůsobí tvaru krčku. Tyto plomby jsou jiné než ty na vrcholu zubu - jsou měkkější a více se přilnavé.
  2. Fluoridová léčba - pokud je kariéza jen na začátku, může lékař aplikovat silný fluoridový gel nebo lak. To zpomalí nebo zastaví rozvoj kazu.
  3. Chirurgické zákroky - pokud je dásně ztracena, může být nutný zákrok, kdy se přesune zdravá dásňová tkáň z jiné části úst do oblasti odhaleného krčku. Tento postup se nazývá gumová transplantace.

Nejčastější chyba? Lidé si koupí „citlivé“ zubní pasty a věří, že to vyřeší problém. Tyto pasty pomáhají s citlivostí, ale nezastavují kariézu. Pokud máte kariézu, potřebujete lékaře, ne zubní pastu.

Co můžete dělat doma, abyste zabránili dalšímu poškození?

Už jste si všimli, že něco není v pořádku? Teď je čas změnit některé návyky - a to hned.

  • Změňte štětec - používejte jen měkký štětec. Štětce s tvrdými vlásky poškozují dásně a zubní skloviny. Doporučuji štětce s ultraměkkými vlásky, které se dají najít u většiny výrobců (např. Oral-B Sensitive, Colgate Sensitive Pro-Relief).
  • Čistěte štětcem pod úhlem 45 stupňů - nevrhávejte ho přímo na zub. Držte štětec tak, aby se dotýkal dásně a zubu najednou. Pohybujte jen mírně, jako byste hladili zub.
  • Čistěte mezi zuby denně - někdo si myslí, že štětec stačí. Ale mezizubní prostory jsou první místo, kde se usazuje kariéza. Používejte zubní nit nebo mezizubní kartáčky. Zkuste například interdentalní kartáčky od TePe - jsou vhodné i pro těžko dostupné oblasti.
  • Nečistěte hned po jídle - když jíte kyselé potraviny (ovoce, limonáda, káva), zubní sklovina se dočasně zjemňuje. Čištění hned poté způsobí další opotřebení. Počkejte 30 minut.
  • Používejte fluoridovou pastu - ne citlivostní, ale fluoridovou s alespoň 1450 ppm fluoridu. To je standard pro prevenci kazu.

Nezapomeňte: když máte odhalený krček, vaše ústní hygiena musí být přesnější než dříve. Nejde o to, kolikrát čistíte, ale jak čistíte.

Čištění zubů štětcem pod úhlem 45 stupňů s důrazem na správnou techniku

Když už je to příliš pozdě - co dál?

Někdy se stane, že kariéza se dostala až k zubnímu nervu. V takovém případě může být potřeba kořenová léčba. Nebo, což je ještě horší, zub musí být vytažen.

Nejhorší případ? Když se kariéza rozšíří na sousední zuby. A to se děje často. Když jeden zub má mezizubní kaz, často ho má i ten vedle. Lékaři to nazývají „kaskádový efekt“. A to je důvod, proč je důležité mít pravidelné prohlídky - každých 6 měsíců.

Než se rozhodnete, že zub vytrhnete, zvažte, zda je možné ho zachránit. V mnoha případech je možné zub zachránit i při pokročilém kazu, pokud se zákrok provede včas.

Co si pamatovat?

Odhalený krček není jen „starý zub“. Je to signál, že něco v ústech není v pořádku. A když ho ignorujete, může to vést k větším problémům - nejen k ztrátě zubu, ale i k infekcím, bolestem a nákladným zákrokům.

Nejlepší strategie je jednoduchá:

  • Navštivte zubního lékaře, pokud si všimnete citlivosti nebo změny tvaru zubu.
  • Užijte měkký štětec a správnou techniku čištění.
  • Čistěte mezizubní prostory každý den.
  • Nečistěte hned po jídle.
  • Nečekáte, až vás to začne bolet.

Mezizubní kaz se neobjeví přes noc. Ale může se rozšířit rychle - a to bez toho, abyste to viděli. Nechte si to zkontrolovat. To je jediný způsob, jak zůstat v zdraví - a zachovat své zuby na mnoho let.

Je možné, že odhalený krček zubu je jen estetický problém a nebezpečný?

Ne. Odhalený krček není jen estetický problém. Je to příznak, že dásně ustupují a zubní sklovina je ztracena. To znamená, že zubní dentin je vystavený kyselinám a bakteriím, což vede k rychlému vzniku mezizubního kazu. Ignorování tohoto příznaku může vést k infekcím, bolestem a ztrátě zubu.

Může zubní pasta na citlivé zuby vyřešit odhalený krček?

Ne. Zubní pasty na citlivé zuby obsahují látky, které dočasně zabraňují bolesti, ale nezastavují kariézu. Pokud máte odhalený krček z důvodu kazu, potřebujete lékaře, který odstraní poškozenou tkáň a naplní zub. Pasta pomůže s příznaky, ale ne s příčinou.

Jak často bych měl navštěvovat zubního lékaře, pokud mám odhalený krček?

Pokud máte odhalený krček, doporučuje se navštěvovat zubního lékaře každé 3-4 měsíce. To umožňuje sledovat pokrok kazu, kontrolovat stav dásní a včas zasahovat. V případě, že je kariéza v rané fázi, může být možné ji zastavit bez plomby.

Může špatná ústní hygiena způsobit odhalený krček i u mladých lidí?

Ano. I mladí lidé mohou mít odhalený krček, pokud čistí zuby příliš silně, používají tvrdý štětec nebo nečistí mezizubní prostory. V posledních letech se tento problém často objevuje u lidí ve věku 20-30 let, kteří mají „čisté“ zuby, ale špatnou techniku. Nejde o věk - jde o zvyky.

Je možné obnovit dásně, které už ustoupily?

Dásně se samy nevrátí, ale můžete je „přemístit“. Chirurgický zákrok nazývaný gumová transplantace přenáší zdravou tkáň z jiné oblasti (např. z patra) do místa odhaleného krčku. Tento zákrok je úspěšný v přesně 80 % případů, pokud je proveden včas a pacient dodržuje pooperační pokyny. Většina pacientů zaznamená výrazné zlepšení citlivosti a estetiky.

Napsal Antonín Svoboda

Jsem stomatolog a můj hlavní zájem je péče o zuby. Pracuji v soukromé stomatologické klinice v Brně. Kromě mé každodenní praxe rád píši populárně-vědecké články o stomatologii a péče o zuby. Je to můj prostředek k šíření informací o důležitosti ústní hygieny. Mým cílem je lépe vzdělávat pacienty a veřejnost o ústní zdravotní péče.